Kunstportfolio 2011 – The Way We Live Now
Ende 2010 hat Lettre zehn internationale Künstler zu einer neuen Graphikedition eingeladen; sie steht unter dem Motto „The Way We Live Now“. Das von Lettre International selbst produzierte Portfolio erscheint in einer Verkaufsauflage von nur 30 numerierten und signierten Exemplaren. Der Erlös dient ausschließlich der Arbeit der Zeitschrift.
Herausgeber: Lettre International
Künstler: Ai Weiwei, John Baldessari, Monica Bonvicini, Olafur Eliasson, Leiko Ikemura, Ilja und Emilia Kabakow, Robert Longo, Tobias Rehberger, Daniel Richter, Rosemarie Trockel
Auflage: 30 Exemplare, signiert und numeriert
Format: 50 x 70 cm
Techniken: Lithographie, Photographie usw.
Mappe: Die Arbeiten sind in einer gebundenen und bedruckten Leinenmappe versammelt. Die folgenden Begleittexte zu den einzelnen Arbteiten entstammen einer zeitgleich entstandenen Broschüre aus dem Jahr 2011.
Unser herzlicher Dank gilt den Künstlerinnen und Künstlern, Folker Skulima und Joëlle Romba für Rat und Tat, den Druckern für ihre hervorragende Arbeit, den Galeristen und Galeriemitarbeitern sowie den Assistenten der Künstler, die mit ihrer Hilfe zur Realisierung der Edition beigetragen haben.
Als Beigabe zum Kauf einer Edition schenken wir Ihnen ein Jahresabonnement von Lettre International. Bitte nennen Sie uns im Kommentarfeld am Abschluß der Bestellung die Ausgabe mit der Ihr Bezug beginnen soll.
Anfragen unter 030 - 308 704 52 oder vertrieb(at)lettre.de

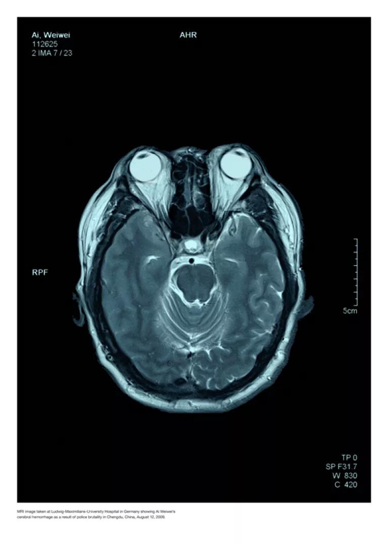
Ai Weiwei – Police Brutality, 2010/2011
Digitaler 11-Farben Pigment-Print einer Computertomographie auf Fabriano Designo Satinato, 50 % Cotton 300 g
Druckerei: Artificial Image, Berlin
Ai Weiwei geb. 1957 in Peking. Der Künstler und Kurator ist Sohn des Dichters Ai Qing. Er studierte an der Filmakademie Peking und ab 1981 an der Parsons The New School for Design in New York. 1993 kehrte er nach Peking zurück, entwarf sich ein Wohnatelier und begann, auch als Architekt zu arbeiten. Teilnahmen an der 48. Biennale Venedig und der documenta XII, weltweite Einzelausstellungen. Mit Jacques Herzog und Pierre de Meuron entwickelte er das Konzept für den „Vogelnest“-Bau des Pekinger Olympiastadions. 2009 wurde er von Polizisten zusammengeschlagen, damit er nicht als Zeuge in einer gerichtlichen Ermittlung zu Pfusch am Bau bei Schulgebäuden aussagen konnte; diese waren bei einem Erdbeben eingestürzt und hatten Tausende von Kindern unter sich begraben. Im September 2009 zeigten sich die Spätfolgen; während eines Aufenthalts in München mußte Ai wegen eines Hämatoms im Gehirn notoperiert werden. Von April bis Juni 2011 war er inhaftiert.
Ai Weiwei was born in 1957 in Beijing, China. He attended the Beijing Film Academy in Beijing and enrolled in 1981 in Parsons The New School for Design in New York. In 1993 he returned to China and founded the China Art Archives and Warehouse in Beijing. In 2003 Ai Weiwei served as artistic consultant for the design of the Beijing National Olympic Stadium for the 2008 Olympics in conjunction with Herzog & de Meuron. Widely considered to be one of the most significant cultural figures of his generation in China and internationally, Ai Weiwei successfully occupies multiple roles as a conceptual artist, architect, curator, designer, film-maker, publisher and activist. Using a variety of formal languages with both traditional and innovative methods of production, Ai links the past with the present and explores the geopolitical, economic and cultural realities affecting the world with humour and compassion.

John Baldessari – Bottle, Poker Chips, Money, Tie, Cup, Ashtray and Box, 2011
Archival inkjet print auf Epson Hot Press Bright paper, 250 g
Druckerei: Baldessari Production Studio
John Baldessari geb. 1931 in National City, Kalifornien. Der Konzept- und Medienkünstler wurde 1970 bekannt, als er seine Gemälde verbrannte und fortan Bildmaterial aus den Massenmedien mit Schrift kombinierte. Das Spiel mit und die Kritik an der Popkultur bilden einen Schwerpunkt seiner Arbeiten. Von 1996 bis 2007 lehrte er an der University of California. Ausstellungen auf der documenta V und VII, in der Tate Modern in London und dem Metropolitan Museum of Art in New York. Für sein Lebenswerk erhielt er 2009 den Goldenen Löwen der Biennale Venedig.
John Baldessari was born in National City, California. He attended San Diego State University and did post-graduate work at Otis Art Institute, Chouinard Art Institute and the University of California, Berkeley. In 1967 Baldessari employed a sign painter and created text and photo text paintings, all on canvases that would fit through the doors of his Volkswagen. In 1970 he ceremonially cremated all his work previous to 1966. Recent projects include exhibitions in New York, Europe, and Los Angeles and the travelling retrospective ‘John Baldessari: Pure Beauty’. Baldessari taught at the California Institute of the Arts in Valencia, CA, and the University of California, Los Angeles.

Monica Bonvicini – O. T., 2011
Die Graphik ist in drei differenzierten Schwarzformen, zum Teil mehrfach, von drei belichteten Aluminiumplatten im direkten Druck in einer Steindruckschnellpresse hergestellt worden. Die anschließende Veredelung durch Lack wurde im Siebdruckverfahren vorgenommen. Als Druckträger wurde ein Büttenpapier der Firma Arches, BFK Rives, 270 g verwendet.
Druckerei: Tabor Presse Berlin
Monica Bonvicini geb. 1965 in Venedig. Studium an der Hochschule der Bildenden Künste in Berlin und am California Institute of the Arts. Die Künstlerin stellt mit Zeichnungen, Videos, Photographien, Skulpturen und Installationen gesellschaftliche Sitten und Gebräuche in Frage. Ihre Neugier richtet sich auch auf die Beziehungen zwischen öffentlichem Raum, Macht und Geschlechterrollen. In ihren Installationen setzt sie sich kritisch mit der westlichen Architekturtradition auseinander. Zahlreiche Ausstellungen in Europa und den USA; mehrmals nahm sie an der Biennale Venedig teil. Monica Bonvicini unterrichtet performative Kunst und Bildhauerei an der Akademie der Bildenden Künste Wien. Sie lebt und arbeitet in Berlin.
Monica Bonvicini was born in 1965 in Venice, Italy. Her multi-media installations deal with her curiosity with the relationship between architecture, the built environment and gender. Bonvicini dismantles the dictates of architecture by using materials like leather and velvet, alongside concrete and steel. She also insists on a physical connection with her art. At the 2011 Venice Biennale, her series of three mixed-media sculptures ‘15 Steps to the Virgin’ was based on the paintings of Tintoretto that Curator Bice Curiger had chosen as thematic cornerstone. She lives and works in Berlin.

Olafur Eliasson – Seeing is feeling, 2010
Digitaler 11-Farben Pigment-Print auf Hahnemühle Photo Rag 100 % Cotton 308 g
Druckerei: Artificial Image, Berlin
Olafur Eliasson geb. 1967 in Kopenhagen. Der Künstler studierte an der Royal Danish Academy of Fine Arts. Seine Installationen im öffentlichen Raum spielen mit Elementen der Natur wie Licht, Wasser, Bewegung und Spiegelung und stellen so „natürliche“ Phänomene in einen zivilisatorischen Kontext. Dadurch wird das Verständnis der physischen Welt reflektiert. Den Moment der Rezeption von Kunst beschreibt er als „sich fühlen sehen“. Mit seiner Frau gründete er 2005 die Organisation 121Ethopia.org, die sich um äthiopische Waisenkinder bemüht. Weltweite Einzelausstellungen; 2006 erhielt er den Kulturpreis des dänischen Kronprinzenpaares, 2007 den Prémio Juan Miró. Er lebt in Kopenhagen und Berlin und lehrt an der Universität der Künste Berlin.
Olafur Eliasson was born in 1967 in Copenhagen, Denmark of Icelandic parentage. He attended the Royal Academy of Arts in Copenhagen from 1989 to 1995. His installations are based on mechanisms of motion, projection, shadow, and reflection, creating complex optical phenomena using simple, makeshift technical devices. He has participated in numerous exhibitions worldwide and his work is represented in public and private collections including the Solomon R. Guggenheim Museum, New York, The Museum of Contemporary Art, Los Angeles, the Deste Foundation, Athens and Tate, London. He represented Denmark in the 2003 Venice Biennale. Eliasson currently lives and works in Berlin.

Leiko Ikemura – Survivor, 2011
FineArt Print, gedruckt mit Epson UltraChrome K3-Pigment Tinte, auf Hahnemühle William Turner, 310 g, 100% Cotton
Druckerei: PG lab medienlabor
Leiko Ikemura geb. 1951 in Mie, Japan. Sie studierte zunächst Spanisch in Osaka und Salamanca, später Bildhauerei und Malerei in Granada und Sevilla. Ab 1979 lebte sie in Zürich, seit 1985 in Köln. 1991 wurde sie zur Professorin für Malerei an der Hochschule der Künste, Berlin berufen. Sie versteht sich als Grenzgängerin zwischen japanischer und okzidentaler Kultur. Nicht nur weibliche Figuren sind in ihren Gemälden, Zeichnungen und Skulpturen ein zentrales Thema. Seit 2007 setzt sie sich erneut mit dem Landschaftsthema auseinander, mit dem sie sich schon 1989 beschäftigt hat. 2011 fand eine Retrospektive ihrer Arbeiten im National Museum of Modern Art Tokyo statt.
Leiko Ikemura was born at Tsu, Mie Prefecture, one hundred kilometres east of Osaka, Japan, in 1951. At twenty-one she left Japan for Salamanca, Spain, and studied sculpture and painting in Granada and Seville. In 1979 she moved to Zurich. In 1980 Leiko Ikemura produced the first of her paintings she regarded as valid statements of her intentions. In them Leiko Ikemura tells of dreams, struggles and conflicts. In 1985 Leiko Ikemura moved to Cologne. She found the step to sculpture, which she had taken in 1987, enormously productive since it provided scope for experimentation with composition and form, which in turn made an impact on her painting. Leiko Ikemura’s metaphorical figures also represent the loss of cultural identity, an aggregate state as well as the blurring of boundaries and dissolution of polarities. Leiko Ikemura sees herself as crossing boundaries, an intermediary between Japanese and Western cultures.

Ilja und Emilia Kabakow – Artist ! Why didn ’t you, 2011
Der neunfarbige Druck wurde im direkten Druck von Aluminiumplatten auf einer Steindruckschnellpresse hergestellt. Die graue Form des Passepartouts wurde im Steindruckverfahren hergestellt. Als Druckpapier diente ein Büttenpapier der Firma Zerkall, „Alt Cleve“ chamois, 225 g, auf das Endformat von 50 x 70 cm geschnitten.
Druckerei: Tabor Presse Berlin
Ilja und Emilia Kabakow geb. 1933 und 1945 in Dnepropetrowsk, UdSSR. Der Maler, Kinderbuchillustrator und Installationskünstler studierte an der W.I. Surikow Kunstakademie in Moskau und wirkte als Konzeptkünstler jenseits des offiziellen sowjetischen Kunstsystems. Seine erste Einzelausstellung hatte er 1985 in Paris. Die ausgebildete Pianistin und Literaturwissenschaftlerin emigrierte 1973 nach Israel und zog 1975 nach New York, wo sie als Kuratorin und Kunsthändlerin arbeitete. Seit 1988 arbeiten beide künstlerisch zusammen. Ihre Werke verbinden Alltägliches und Konzeptuelles und beziehen sich auf das poststalinistische Rußland ebenso wie auf die Condition humaine. Ausstellungen im MoMa New York, auf der documenta IX und der 45. Biennale Venedig. 2002 erhielten sie den Oskar-Kokoschka-Preis. Sie leben auf Long Island.
Ilya Kabakov was born in Dnepropetrovsk, Soviet Union, in 1933. He began his career as a children’s book illustrator; then he was part of a group of Conceptual artists in Moscow. Emilia Kabakov was born in Dnepropetrovsk, Soviet Union, in 1945. She attended the Music College in Irkutsk in addition to studying literature at Moscow University. She moved to New York in 1975, where she worked as a curator and art dealer. Both artists have collaborated since 1988 on environments that fuse elements of the everyday with those of the conceptual. Their installations speak as much about conditions in post-Stalinist Russia as they do about the human condition universally. Their work has been shown at venues including the Museum of Modern Art, New York, Documenta IX, Kassel, and the 45th Venice Biennale. The Kabakovs live and work in Long Island.

Robert Longo – Barbara in a Burka, 2011
Der Druck, „Barbara in a Burka”, basiert auf einer großformatigen Kohlezeichnung, die nach Fertigstellung photographiert wurde. Das so entstandene Ektachrom 4x5 wurde von David Adamson digitalisiert und mit Hilfe einer Reihe von Proofs durch Robert Longo finalisiert. Es handelt sich um einen Archival inkjet print mit Pigmenttinte auf Epson bright white paper, 330 g.
Druckerei: Adamson Editions in Washington, DC
Robert Longo geb. 1953 in Brooklyn. Der Maler, Zeichner, Bildhauer, Graphiker, Photograph, Performer und Videokünstler studierte Bildhauerei, bevor er ans Buffalo State College ging. Er wohnte mit Cindy Sherman zusammen und gründete in einer alten Eisverpackungshalle mit Charles Clough die Galerie Hallwalls (1975-1977) im Flur zwischen ihren beiden Ateliers. Teilnahme an der documenta VII und VIII sowie 1997 an der Biennale von Venedig. 2005 erhielt er den Kaiserring der Stadt Goslar. Seine Magellan-Serie war 2011 in der Kunsthalle Weishaupt in Ulm zu sehen. Er ist mit der Schauspielerin Barbara Sukowa verheiratet und lebt mit seinen drei Söhnen in New York.
Robert Longo was born in 1953 in New York. Group exhibitions include Documenta (1987 and 1982), the Whitney Biennial (2004 and 1983) and the Venice Biennale (1997). His work is represented in collections of the Museum of Modern Art, the Guggenheim Museum and the Whitney Museum of American Art, in New York; the Art Institute of Chicago; the Stedelijk Museum in Amsterdam; the Centre Georges Pompidou in Paris; the Albertina in Vienna; and the Ludwig Museum in Cologne. Robert Longo was the recipient of the Goslar Kaiserring in 2005. He lives with his wife, Barbara Sukowa, and their three sons in New York.

Tobias Rehberger – Warten auf Gretchen, 2011
Digitaler 11-Farben Pigment-Print auf Innova Art FibaPrint White Matte 100 % Alpha Zellulose 280 g
Druckerei: Artificial Image, Berlin
Tobias Rehberger geb. 1966 in Esslingen. Der Bildhauer und Installationskünstler studierte bei Thomas Bayrle und Martin Kippenberger. Seine Werke bewegen sich zwischen Malerei, Bildhauerei, Design, Aktionskunst und Architektur. Er hinterfragt Autorschaft und Originalität und möchte beim Kunstbetrachter als Katalysator neue Sichtweisen anregen. Für die von ihm entworfene Cafeteria im zentralen Ausstellungspalast der 53. Biennale Venedig wurde ihm 2009 der Goldene Löwe für den besten Künstler verliehen. Im Sommer 2011 wurde seine Brückenskulptur Slinky Springs to Fame in Oberhausen fertiggestellt. Er unterrichtet Bildhauerei an der Städelschule in Frankfurt am Main, lebt dort und in Berlin.
Tobias Rehberger was born in 1966 in Esslingen, Germany. He attended the Städelschule in Frankfurt/Main and started working as an artist in the early nineties. With his various forms of artistic output: sculptures, industrial objects and handcrafted articles, he explores the wider sphere of structural design and architecture, thriving on chance connections and unexpected encounters. The concept of transformation is the central theme of his art. Rehberger focusses his energies on the process of perception and of awareness, temporality and the sense of transience, discontinuity and ambiguity. In 2009 he won the Golden Lion for best artist for his cafeteria at the Venice Biennale. He teaches at the Städelschule in Frankfurt/Main and also lives and works in Berlin.

Daniel Richter – Begegnung im Hochland 3, 2011
Die dreifarbige Lithographie wurde auf einem „Incisioni“ Büttenpapier der Papierfabrik Cartiera Magnani, 300 g, im Format von 50 x 70 cm direkt vom Stein gedruckt.
Druckerei: Tabor Presse Berlin
Daniel Richter geb. 1962 in Lütjenburg. Bildender Künstler, Bühnenbildner, Musikproduzent. Er studierte bei Werner Büttner an der Hochschule für bildende Künste Hamburg und war Mitarbeiter von Albert Oehlen. Um 2000 wandelten sich seine Arbeiten von der Abstraktion hin zu neuen Formen der Figuration. Zahlreiche Stipendien und Preise, darunter 1998 der Otto-Dix-Preis und 2009 der Kunstpreis Finkenwerder. Ausstellungen in der Hamburger Kunsthalle (2007), im GEM Den Haag (2007-2008), im Denver Art Museum (2008-2009) oder 2011 „10001nacht“ in der Kestnergesellschaft Hannover sowie der Galerie Contemporary Fine Arts in Berlin. Seit 2006 Professor für Erweiterten malerischen Raum an der Akademie der Bildenden Künste Wien. Er lebt und arbeitet in Berlin und Hamburg.
Daniel Richter was born in 1962 in Lütjenburg, Germany. He attended the Hochschule der Bildenden Künste in Hamburg. In 1998 he received the Otto Dix Award. His frenetic style of painting consists of thick brushwork battles with translucent drizzles and impassioned smears; acid tones are electrified against the sombre ground. His work subverts the genre of epic historical painting. Often working from media images, his large-scale paintings reconstitute current events as timeless fables, spinning the anxiety of contemporary zeitgeist into overwhelming tableaux of allegorical fantasy. Since 2006 Richter has taught at the Akademie der Bildenden Künste in Vienna. He lives and works in Berlin and Hamburg.

Rosemarie Trockel – Morgenvisite, 2011
Offsetdruck im Andruckverfahren (4-farbig mit Glanzlack) auf Profigloss 300 g, 50 x 70 cm
Druckerei: Khoury & Khouri, Köln
Rosemarie Trockel geb. 1952 in Schwerte. Sie lebt und arbeitet in Köln. Erste Galerieausstellungen 1983 bei Monika Sprüth in Köln und Philomene Magers in Bonn. Auf der documenta X sorgte sie gemeinsam mit Carsten Höller für Aufsehen mit dem Haus für Schweine und Menschen. Ihre Werke wurden 1988 im Museum of Modern Art, New York, 1991 im Museum of Contemporary Art, Chicago, und im Institute of Contemporary Art in Boston gezeigt. Als erste weibliche Künstlerin gestaltete sie 1999 den Deutschen Pavillon der Biennale von Venedig. 2011 ist sie Trägerin des Kaiserrings der Stadt Goslar. Seit 1998 ist sie Professorin an der Kunstakademie Düsseldorf.
Rosemarie Trockel was born in 1952 in Schwerte, Germany. She studied at the Werkkunstschule, Cologne, which was then heavily influenced by Joseph Beuys. In 1985 Trockel produced her first ‘knitting pictures’, works, which are ironic comments on the traditionally feminine occupation of knitting placed in a context of mass production. Alongside installation, sculpture, drawing and found material, video has been central to her exploration of the connection between gender difference and imagination. Trockel is a professor at the Kunstakademie Düsseldorf. She lives and works in Cologne

Kunsteditionen
Die deutsche Ausgabe von Lettre International arbeitet seit ihrer Gründung eng mit Künstlerinnen und Künstlern zusammen. Von der ersten Nummer an haben Künstler die Titelseiten sowie acht bis zehn Seiten des Innenteils für Lettre gestaltet; Künstler haben immer wieder auch zu Projekten und Themenheften von Lettre beigetragen wie Hommage an Sarajewo, dem Thema des Internationalen Essaypreises, dem Jubiläumsheft zum 20-jährigen Bestehen „So leben wir jetzt!“ oder dem Heft zum 20-jährigen Jahrestags des Mauerfalls „Berlin auf der Couch“. Bereits 1992 haben 14 Künstler mittels einer für Lettre geschaffenen Graphikedition in einer ökonomisch schwierigen Lage zum Erhalt der Zeitschrift beigetragen. Ende 2010 hat Lettre zehn internationale Künstler zu einer neuen Graphikedition eingeladen; sie steht unter dem Motto „The Way We Live Now“.
Seit 2012 hat Lettre International regelmäßig exklusive Kunstgraphiken in kleineren Auflagen produziert und bietet diese zum Verkauf an.